Nấm da là nhóm bệnh nhiễm trùng da do các vi nấm như Dermatophytes, Candida và Malassezia gây ra, thường xuất hiện khi hàng rào bảo vệ da suy yếu và hệ vi sinh da mất cân bằng.
Theo Hướng dẫn chẩn đoán và điều trị bệnh nấm da của Bộ Y tế Việt Nam (2025): “Bệnh có xu hướng nặng hơn trong môi trường ẩm kín, kết hợp với thói quen sinh hoạt và việc sử dụng sản phẩm bôi ngoài da không phù hợp, tạo điều kiện cho vi nấm tồn tại dai dẳng.”
Trên lâm sàng, nấm da bao gồm nhiều thể như nấm da thân, nấm kẽ, nấm da đầu, lang ben và nấm móng, với biểu hiện khác nhau tùy vị trí tổn thương. Việc nhận diện đúng loại nấm từ sớm giúp phân biệt với các bệnh da liễu khác và giảm nguy cơ lan rộng, tái phát.
Điều trị nấm da tại nhà hiệu quả cần kết hợp vệ sinh da đúng cách, kiểm soát điều kiện da và lựa chọn sản phẩm hỗ trợ phù hợp, đồng thời điều chỉnh lối sống để duy trì kết quả lâu dài.
Người bệnh nên thăm khám da liễu khi tổn thương lan rộng, tái phát nhiều lần hoặc có dấu hiệu viêm, bội nhiễm, đặc biệt ở các vị trí khó điều trị và nhóm có sức đề kháng suy giảm.
Đặc biệt, các sai lầm như dùng nhiều sản phẩm cùng lúc, ngưng điều trị sớm, che kín vùng tổn thương hoặc áp dụng mẹo dân gian chưa kiểm chứng có thể làm giảm hiệu quả điều trị và tăng nguy cơ tái phát.
Để tìm hiểu chi tiết, mời bạn cùng Dr. Choice Clinic đọc tiếp bài viết dưới đây.

Nguyên Nhân Hình Thành Nấm Da Là Gì?
Nấm da hình thành khi hàng rào bảo vệ da suy yếu và hệ vi sinh da mất cân bằng. Các yếu tố như môi trường ẩm kín, thói quen sinh hoạt – tiếp xúc không phù hợp và lạm dụng mỹ phẩm hoặc thuốc bôi sai cách sẽ tạo điều kiện cho vi nấm phát triển và kéo dài.
1. Cơ địa và sức đề kháng da
Khi hàng rào bảo vệ da suy yếu (da khô, viêm mạn tính, dễ kích ứng), vi nấm dễ bám dính và xâm nhập sâu vào lớp sừng. Những người có hệ miễn dịch suy giảm, cơ địa dị ứng, viêm da tái phát hoặc bệnh da mạn tính có nguy cơ nhiễm nấm cao hơn.
Ngoài ra, các bệnh lý nền như đái tháo đường, rối loạn nội tiết, hội chứng chuyển hóa làm môi trường da giàu glucose và suy giảm miễn dịch tại chỗ, từ đó tăng nguy cơ nhiễm nấm kéo dài.
Nghiên cứu trên Journal of Clinical and Aesthetic Dermatology (2024) cho thấy: “Bệnh nhân đái tháo đường có nguy cơ nhiễm nấm da cao hơn 1,5–2 lần so với người bình thường.”
2. Môi trường ẩm ướt và vệ sinh da chưa phù hợp
Vi nấm phát triển mạnh trong môi trường ẩm, kín và kém thông thoáng. Mồ hôi tích tụ kéo dài nhưng không được làm sạch, làm khô đúng cách sẽ làm thay đổi pH da và phá vỡ hệ vi sinh tự nhiên.
Thói quen mặc quần áo bó sát, chất liệu kém thấm hút hoặc mặc đồ còn ẩm sau giặt khiến da luôn trong trạng thái bí bách. Trên lâm sàng, các vùng như kẽ chân, bẹn, nách, vùng sinh dục và da đầu là những vị trí dễ trở thành ổ trú ngụ của nấm nếu vệ sinh không phù hợp.
3. Thói quen sinh hoạt và yếu tố tiếp xúc
Dùng chung khăn tắm, quần áo, giày dép hoặc vật dụng cá nhân với người nhiễm nấm làm tăng nguy cơ lây nhiễm chéo. Việc tiếp xúc với môi trường ẩm như phòng tắm công cộng, sàn nhà ướt, hồ bơi mà không làm sạch da ngay sau đó cũng là yếu tố nguy cơ phổ biến.
Bên cạnh đó, hành vi gãi, cào vùng da nhiễm nấm có thể làm tổn thương hàng rào da và phát tán bào tử nấm sang vùng da lành, khiến tổn thương lan rộng và khó kiểm soát hơn.
4. Lạm dụng mỹ phẩm hoặc thuốc bôi không phù hợp
Nhiều trường hợp nấm da kéo dài do điều trị sai hướng ngay từ đầu. Việc lạm dụng mỹ phẩm làm trắng hoặc kem dưỡng có tính bít tắc cao có thể làm rối loạn hệ vi sinh da, gián tiếp tạo điều kiện cho nấm phát triển.
Đặc biệt, sử dụng thuốc bôi chứa corticoid kéo dài tuy giúp giảm đỏ, ngứa tạm thời nhưng lại ức chế miễn dịch tại chỗ, khiến vi nấm phát triển sâu và lan rộng hơn.
Các báo cáo lâm sàng của Dr. Choice Clinic (2024) ghi nhận: “Tình trạng “nấm da biến dạng do corticoid” thường khó chẩn đoán, dễ tái phát và kéo dài thời gian điều trị nếu không được phát hiện sớm.”

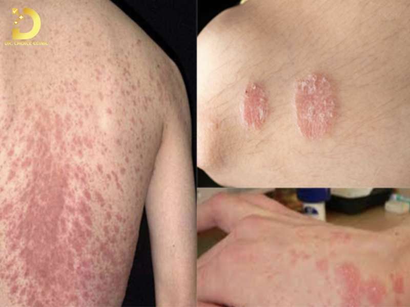
Các Loại Nấm Da Thường Gặp Và Cách Nhận Biết
Nấm da bao gồm nhiều thể bệnh khác nhau như: nấm da thân, nấm kẽ, nấm da đầu, lang ben và nấm móng. Mỗi loại có đặc điểm tổn thương và vị trí xuất hiện riêng. Việc nhận biết đúng từng thể nấm ngay từ sớm giúp tránh nhầm lẫn với các bệnh da liễu khác và hạn chế nguy cơ lan rộng, tái phát kéo dài.
1. Nấm da thân (hắc lào) – Thể nấm nông phổ biến, dễ lây lan
Nấm da thân, thường gọi là hắc lào, là dạng nhiễm nấm gặp nhiều nhất ở người trưởng thành, lây truyền chủ yếu qua tiếp xúc trực tiếp hoặc dùng chung vật dụng cá nhân.
Về mặt lâm sàng, hắc lào có 4 đặc điểm khá điển hình giúp phân biệt với các bệnh viêm da khác, như:
- Tổn thương dạng mảng tròn hoặc bầu dục, ranh giới rõ, lan dần theo chu vi.
- Dấu hiệu đặc trưng “trung tâm lành – rìa hoạt động”: vùng trung tâm nhạt màu, ít ngứa; rìa ngoài gồ nhẹ, sậm màu và ngứa nhiều.
- Bề mặt có thể bong vảy mịn, cảm giác ngứa tăng khi ra mồ hôi hoặc vào ban đêm.
- Vị trí thường gặp: thân mình, tay, chân, lưng, mông; ít gặp ở vùng mặt.
Theo American Academy of Dermatology (2025): “Hắc lào chiếm tỷ lệ cao nhất trong nhóm nấm da thân ở người trưởng thành.”

2. Nấm kẽ (nấm bẹn, nấm kẽ tay – kẽ chân) – Dễ bỏ sót do vị trí tổn thương kín
Nếu nấm da thân thường biểu hiện rõ ràng về hình thái, thì nấm kẽ lại dễ bị bỏ sót do tổn thương nằm ở các vùng da kín và ẩm.
Nấm kẽ phát triển mạnh tại những vị trí dễ tích tụ mồ hôi và chịu ma sát thường xuyên. Tổn thương thường là các mảng đỏ hoặc nâu sẫm, ranh giới không đều, bề mặt có thể bong vảy mịn hoặc rịn ẩm. Người bệnh thường than phiền cảm giác ngứa rát, châm chích, tăng rõ khi vận động hoặc đổ mồ hôi.
Trên lâm sàng:
- Nấm kẽ chân thường gây tróc vảy, nứt nẻ hoặc maceration ở kẽ ngón, dễ kèm mùi hôi.
- Nấm bẹn hay lan ra đùi trong và vùng mông dưới, đôi khi bị nhầm với viêm da tiếp xúc hoặc viêm da tiết bã.
Các nghiên cứu của Dr. Choice Clinic (2025) cho thấy: “Nấm kẽ có tỷ lệ tái phát cao nếu không được kiểm soát tốt độ ẩm và điều trị đủ thời gian. Nguy cơ này đặc biệt tăng ở nhóm người thường xuyên mang giày kín hoặc làm việc trong môi trường nóng ẩm.”

3. Nấm da đầu – Dễ nhầm với gàu, nguy cơ rụng tóc nếu chẩn đoán muộn
Nấm da đầu là thể bệnh có biểu hiện đa dạng, thường gặp ở trẻ em nhưng người lớn vẫn có nguy cơ mắc nếu vệ sinh da đầu kém hoặc dùng chung đồ cá nhân.
3 dấu hiệu nhận biết thường gặp của nấm da đầu là:
- Giai đoạn sớm: mảng bong vảy trắng hoặc xám, dễ nhầm với gàu thông thường.
- Giai đoạn tiến triển: tóc tại vùng tổn thương trở nên giòn, dễ gãy rụng, tạo mảng thưa tóc rõ.
- Một số trường hợp kèm đỏ da, ngứa hoặc mụn mủ nhỏ quanh chân tóc.
Theo Journal of the American Academy of Dermatology (2023): “Nếu không điều trị kịp thời, nấm da đầu có thể gây rụng tóc từng vùng và để lại sẹo vĩnh viễn.”

4. Lang ben – Nấm da mạn tính, ít ngứa nhưng dễ tái phát
Lang ben là dạng nấm da mạn tính do nấm men gây ra, có xu hướng tái phát nhiều lần, đặc biệt ở người trẻ tuổi và người ra mồ hôi nhiều. 5 vị trí thường gặp của lang ben bao gồm: lưng, ngực, cổ, vai và cánh tay trên.
Tổn thương điển hình là các đốm hoặc mảng da đổi màu, có thể sáng hơn hoặc sậm hơn so với vùng da xung quanh. Bề mặt da thường có lớp vảy mịn như phấn, dễ bong khi cạo nhẹ. Khác với nhiều dạng nấm da khác, lang ben ít ngứa hoặc không ngứa, khiến người bệnh dễ chủ quan trong giai đoạn đầu.

5. Nấm móng – Diễn tiến chậm nhưng khó điều trị nếu phát hiện muộn
Nấm móng là thể nhiễm nấm dai dẳng, thường chỉ được phát hiện khi tổn thương đã lan rộng và ảnh hưởng thẩm mỹ.
3 biểu hiện điển hình của nấm móng bao gồm:
- Móng đổi màu (vàng, nâu hoặc trắng đục), bề mặt dày lên, giòn và dễ vỡ.
- Móng có thể bong tách khỏi giường móng, gây khó chịu trong sinh hoạt.
- Thường khởi phát thứ phát từ nấm kẽ tay hoặc kẽ chân kéo dài không điều trị dứt điểm.
Do bệnh tiến triển chậm và ít đau, nhiều trường hợp chỉ được chẩn đoán khi đã lan sang nhiều móng, khiến việc điều trị trở nên phức tạp hơn.

Cách Điều Trị Nấm Da Hiệu Quả Tại Nhà
Điều trị nấm da tại nhà cần dựa trên việc kiểm soát môi trường da, chăm sóc vệ sinh đúng cách và sử dụng sản phẩm hỗ trợ phù hợp. Đồng thời, điều chỉnh lối sống và thói quen sinh hoạt đóng vai trò then chốt giúp hạn chế tái phát và duy trì hiệu quả lâu dài.
1. Chăm sóc và vệ sinh da đúng cách
Vi nấm phát triển mạnh trong điều kiện ẩm, kín và tổn thương hàng rào da. Do đó, nếu vùng da bệnh liên tục bị ẩm hoặc kích ứng lặp lại, các biện pháp hỗ trợ khác khó phát huy hiệu quả bền vững.
Vì vậy khi chăm sóc hằng ngày, người bệnh cần lưu ý:
- Giữ vùng da tổn thương luôn khô thoáng, lau khô kỹ sau khi tắm hoặc sau khi ra mồ hôi.
- Tránh gãi, cào hoặc chà xát mạnh lên vùng da đang nhiễm nấm để hạn chế lan rộng và bội nhiễm vi khuẩn.
- Không dùng chung khăn tắm, quần áo, giày dép hoặc đồ dùng cá nhân nhằm cắt đứt đường lây truyền gián tiếp.
- Ưu tiên quần áo rộng rãi, chất liệu thấm hút tốt; thay đồ ngay khi bị ẩm mồ hôi.
- Vệ sinh da nhẹ nhàng, tránh các sản phẩm tẩy rửa mạnh hoặc chứa hương liệu dễ gây kích ứng.
2. Sử dụng sản phẩm hỗ trợ điều trị
Khi môi trường da đã được ổn định, việc sử dụng các sản phẩm bôi ngoài da có hoạt chất kiểm soát vi nấm, giảm phản ứng viêm và phục hồi hàng rào bảo vệ da là bước bắt buộc trong giai đoạn tổn thương còn hoạt động.
Để đảm bảo hiệu quả và an toàn khi sử dụng sản phẩm tại nhà, cần tuân thủ nghiêm ngặt 5 nguyên tắc sau:
- Ưu tiên sản phẩm có hoạt chất kháng nấm và kháng viêm đã được chứng minh. Thường gặp như: các dẫn xuất azole hoặc các thành phần có nguồn gốc sinh học giúp ức chế vi nấm, kết hợp cùng hoạt chất làm dịu da (panthenol, allantoin, chiết xuất yến mạch, lô hội…) nhằm giảm ngứa và đỏ rát tại vùng tổn thương.
- Bổ sung thành phần phục hồi hàng rào da, bao gồm ceramide, cholesterol, acid béo hoặc niacinamide nồng độ phù hợp, giúp củng cố lớp màng bảo vệ da – yếu tố then chốt trong kiểm soát vi nấm lâu dài.
- Sử dụng đúng liều lượng, đúng tần suất và đủ thời gian, ngay cả khi triệu chứng bên ngoài đã thuyên giảm, nhằm tránh hiện tượng vi nấm tồn lưu và tái hoạt động.
- Không tự ý phối hợp nhiều sản phẩm hoặc nhiều hoạt chất cùng lúc. Đặc biệt là các sản phẩm có tính tẩy mạnh, vì có thể làm rối loạn hệ vi sinh da và làm suy yếu hàng rào bảo vệ tự nhiên.
- Theo dõi sát phản ứng của da trong suốt quá trình sử dụng, nếu xuất hiện dấu hiệu kích ứng, châm chích kéo dài hoặc tổn thương nặng hơn. Cần điều chỉnh hoặc ngưng sản phẩm để tránh làm trầm trọng tình trạng da.
3. Nguyên liệu thiên nhiên hỗ trợ
Trong các trường hợp nấm da nhẹ, mới khởi phát hoặc đã ổn định, một số nguyên liệu thiên nhiên có thể được sử dụng như biện pháp hỗ trợ, không thay thế cho điều trị chính.
Những nguyên liệu có đặc tính kháng khuẩn nhẹ, làm dịu và giảm ngứa có thể giúp cải thiện triệu chứng và phần nào hạn chế sự phát triển của vi nấm. Thường được nhắc đến gồm tinh dầu tràm trà, chiết xuất lô hội, lá trầu không hoặc nghệ. Tuy nhiên, việc sử dụng cần tuân thủ nghiêm ngặt 4 nguyên tắc an toàn sau:
- Chỉ áp dụng trên vùng da còn nguyên vẹn, không trầy xước và không rỉ dịch.
- Sử dụng với tần suất vừa phải, tránh đắp hoặc ủ kéo dài gây ẩm da và làm nặng tổn thương.
- Ngưng ngay khi xuất hiện cảm giác rát, đỏ, ngứa tăng hoặc tổn thương lan rộng.
- Không dùng cho trẻ nhỏ, phụ nữ mang thai hoặc vùng da nhạy cảm khi chưa có tư vấn chuyên môn.
4. Điều chỉnh lối sống để hạn chế tái phát
Nấm da là bệnh lý có xu hướng tái phát nếu các yếu tố thuận lợi vẫn tồn tại. Vì vậy, điều chỉnh lối sống là bước then chốt để duy trì hiệu quả điều trị tại nhà.
Người bệnh nên:
- Hạn chế môi trường ẩm ướt kéo dài, đặc biệt với người ra mồ hôi nhiều hoặc làm việc trong điều kiện nóng ẩm.
- Duy trì vệ sinh cá nhân đúng cách và không tái sử dụng quần áo, khăn tắm chưa được làm sạch hoàn toàn.
- Nâng cao sức đề kháng thông qua chế độ ăn uống cân bằng, nghỉ ngơi hợp lý và kiểm soát căng thẳng.
- Chủ động xử lý triệt để các ổ nấm kẽ, nấm da đầu để tránh lây lan sang vùng da khác.
- Thăm khám da liễu khi tổn thương không cải thiện sau 1–2 tuần chăm sóc đúng cách tại nhà hoặc có dấu hiệu nặng lên.
Theo kinh nghiệm điều trị của Dr. Choice Clinic: “Việc kết hợp điều trị tại chỗ với điều chỉnh hành vi sinh hoạt có thể giúp giảm tỷ lệ tái phát nấm da lên đến 67%.”

Khi Nào Cần Thăm Khám Bác Sĩ Da Liễu?
Người bệnh nên thăm khám bác sĩ da liễu khi nấm da lan nhanh, tái phát nhiều lần hoặc xuất hiện dấu hiệu viêm, bội nhiễm. Việc khám sớm đặc biệt cần thiết với các vị trí khó điều trị và nhóm đối tượng có sức đề kháng yếu để tránh biến chứng và kéo dài thời gian bệnh. Cụ thể:
- Nấm lan nhanh, diện rộng hoặc tái phát nhiều lần: Tình trạng này cho thấy nấm phát triển mạnh, có nguy cơ kháng điều trị tại nhà hoặc liên quan đến yếu tố miễn dịch.
- Tổn thương đau, sưng, chảy dịch, có mùi hôi: Đây là dấu hiệu bội nhiễm vi khuẩn hoặc viêm nặng, cần can thiệp y tế sớm để tránh biến chứng.
- Nấm da đầu gây rụng tóc nhiều hoặc nấm móng kéo dài: Các vị trí này khó điều trị, tiến triển chậm và dễ để lại hậu quả lâu dài nếu xử lý sai cách.
- Trẻ nhỏ, người cao tuổi hoặc người có bệnh nền: Nhóm đối tượng này có sức đề kháng yếu hơn, cần được theo dõi và điều trị dưới sự kiểm soát của bác sĩ.

Những Sai Lầm Thường Gặp Khi Điều Trị Nấm Da Tại Nhà
Các sai lầm thường gặp gồm trộn nhiều sản phẩm, ngưng điều trị sớm, che kín vùng nấm và áp dụng mẹo dân gian thiếu kiểm chứng. Những hành vi này khiến nấm khó khỏi và dễ tái phát.
- Tự ý trộn nhiều loại kem bôi: Việc kết hợp đồng thời nhiều sản phẩm bôi ngoài da có thể làm thay đổi pH bề mặt da, gây kích ứng hoặc che lấp triệu chứng lâm sàng, từ đó khiến nấm tồn tại âm thầm.
Báo cáo trên Journal of Dermatological Treatment (2023) ghi nhận: “Hơn 35% ca nấm da dai dẳng có liên quan đến việc sử dụng phối hợp nhiều loại kem bôi không theo hướng dẫn chuyên môn.”
- Ngưng điều trị sớm: Nhiều người dừng bôi thuốc khi thấy đỡ ngứa hoặc bong vảy, khiến nấm chưa được loại bỏ hoàn toàn và dễ tái phát.
- Che kín vùng nấm: Môi trường ẩm, bí là điều kiện thuận lợi để nấm phát triển mạnh hơn, làm bệnh lâu khỏi.
- Tin vào các mẹo dân gian thiếu kiểm chứng: Các phương pháp truyền miệng không rõ cơ sở khoa học có thể gây kích ứng, bỏng da hoặc làm chậm thời điểm điều trị đúng cách.

Giải Đáp Thắc Mắc Thường Gặp Về Nấm Da
1. Nấm da có tự hết không?
Trong đa số trường hợp, nấm da không thể tự khỏi hoàn toàn nếu không được điều trị đúng cách. Vi nấm có khả năng tồn tại dai dẳng trong lớp sừng và môi trường da ẩm. Việc để bệnh tự tiến triển có thể khiến tổn thương lan rộng và tăng nguy cơ tái phát.
2. Nấm da có lây không?
Nấm da là bệnh có khả năng lây lan, chủ yếu qua tiếp xúc trực tiếp da – da hoặc dùng chung đồ cá nhân như khăn tắm, quần áo, giày dép. Một số dạng nấm như nấm da mặt, nấm bẹn hoặc nấm kẽ còn dễ lây gián tiếp trong môi trường ẩm ướt nếu không kiểm soát vệ sinh đúng cách.
3. Điều trị nấm da bao lâu thì khỏi?
Thời gian điều trị nấm da phụ thuộc vào loại nấm, vị trí tổn thương và mức độ lan rộng. Các trường hợp nấm nông, phát hiện sớm có thể cải thiện sau vài tuần. Trong khi những dạng dai dẳng như nấm móng, nấm da mặt biến dạng hoặc nấm tái phát nhiều lần thường cần thời gian điều trị dài hơn và theo dõi sát.
4. Nấm da mặt điều trị như thế nào an toàn?
Điều trị nấm da mặt cần xác định đúng loại nấm gây bệnh, thường gặp nhất là nấm men Malassezia, nấm da do Dermatophytes hoặc nấm liên quan viêm da tiết bã.
Do da mặt mỏng và nhạy cảm, việc điều trị cần ưu tiên các phương pháp dịu nhẹ, đúng hoạt chất, đúng thời gian, tránh tự ý dùng corticoid hoặc mỹ phẩm che phủ tổn thương vì có thể làm nấm lan rộng và biến dạng da.
5. Làm thế nào để ngăn ngừa nấm da tái phát?
Ngăn ngừa nấm da cần kết hợp chăm sóc da đúng cách và điều chỉnh lối sống. Việc giữ da khô thoáng, không dùng chung đồ cá nhân, hạn chế môi trường ẩm nóng và lựa chọn sản phẩm chăm sóc phù hợp với từng vùng da sẽ giúp giảm đáng kể nguy cơ tái nhiễm.
6. Nên điều trị nấm da ở đâu an toàn, hiệu quả HCM?
Dr. Choice Clinic là địa chỉ được nhiều người lựa chọn trong các trường hợp nấm da kéo dài, tái phát nhiều lần hoặc xuất hiện tại vùng da nhạy cảm như da mặt, bẹn, kẽ tay – chân.
Tại đây, bệnh nhân được thăm khám da liễu bài bản, kết hợp đánh giá tổn thương nhằm xác định đúng loại nấm gây bệnh cũng như mức độ xâm nhập. Dựa trên kết quả chẩn đoán, bác sĩ sẽ xây dựng phác đồ điều trị cá nhân hóa, giúp kiểm soát nhanh triệu chứng ngứa, bong vảy, viêm đỏ và hạn chế nguy cơ điều trị sai hướng.
Đồng thời, liệu trình còn chú trọng phục hồi hàng rào bảo vệ da, giảm tổn thương sau viêm và ngăn ngừa nấm da tái phát. Toàn bộ quá trình được thực hiện theo chuẩn y khoa, đảm bảo an toàn và phù hợp với từng cơ địa.

Nếu bạn đang gặp tình trạng nấm da khó điều trị dứt điểm, có thể trực tiếp đến Dr. Choice Clinic để được bác sĩ da liễu tư vấn và xây dựng giải pháp phù hợp nhất với tình trạng cá nhân.

Bác sĩ Đặng Thị Oanh là chuyên gia Da liễu bệnh học và thẩm mỹ với hơn 10 năm kinh nghiệm, hiện đang công tác tại Phòng khám Da liễu Dr. Choice Clinic. Bác sĩ Oanh nổi tiếng với các phác đồ điều trị chuẩn y khoa, dựa trên bằng chứng khoa học, mang lại hiệu quả cao và an toàn.
Thế mạnh của bác sĩ là điều trị các loại sẹo phức tạp (đặc biệt là kỹ thuật giải phóng chân sẹo bằng Cannula độc quyền), trị mụn, thâm, nám, tàn nhang và trẻ hóa da không phẫu thuật. Với sự tận tâm và chuyên môn vững chắc, bác sĩ Oanh đã điều trị thành công cho hàng ngàn khách hàng, kể cả những ca phức tạp và từng thất bại ở nơi khác.

Dịch Vụ Hữu Ích:
Phòng Khám Điều Trị Sùi Mào Gà Bảo Mật, An Toàn Tại TPHCM
Phòng khám điều trị mụn cóc TPHCM nhanh, an toàn, hiệu quả
Phòng khám điều trị viêm da cơ địa (chàm) TPHCM uy tín